|
|
|
ホームへ |
★爪、咬んじゃ駄目よ!
★今度は髪の毛が!
★どうやってはめたの?
★あれあれ?二本目の糸切り歯が!
★気をつけて!秋口と冬に多い外傷
★外傷ー2
★こんな治療はいけません
★気をつけて!乳酸菌飲料の与え方
★スポーツドリンクにも注意
★「こだわり」を理解すること |
|
|
爪 咬んじゃ駄目よ! |
|
 |
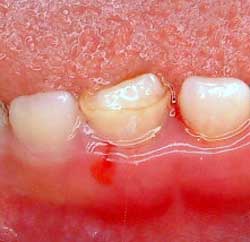
左の写真は、ある、爪を咬む癖のある患者さんの
前歯から出てきたものです。
「前歯の裏側の肉が腫れて痛い」と言って
来院されたのですが、
なんと、ポケット(歯と歯肉の間)から
こんな大きな爪が出てきました。
咬み取った爪が口の中に残り、
それが入り込んだのですね。 彼女は「もう絶対爪は咬まない!」と誓っていました。 |
|
|
今度は髪の毛が! |
ページトップへ |
|
 |
これもびっくり!歯と歯肉の間(ポケット)から、
2mm〜4mmもある髪の毛が 何十本も出てきました。
爪噛みをやめなさいと言われていつしか始まった「髪噛み」 小さな妹さんたちの面倒を良くみる、8歳とは思えないほど しっかりしたおねえちゃまには
本人も自覚していないストレスがあるのでは?と お母様とお話しました。 |
|
|
どうやってはめたの! |
ページトップへ |
|
 |
1才4ヶ月のお嬢さん。 上の前歯の虫歯治療のために来院されたのですが、下の前歯の色と形がヘン!? 段差のあるところを引っ張ってみたら、透明なビニールの筒が外れてきました。→ 左の写真はもう一つお隣の歯にビニールの筒がはまったままのところです。 このビニールは何か?どうやって嵌めたか?ナゾなんですが、実は私ははじめて会う症例ではありません。15年位前にも同じものをみたことがあります。 |
 |
|
ビーズ枕の中身ではないか?と先輩の先生が教えてくださいました。 |
|
|
|
ページトップへ |
|
あれあれ?
二本目の糸切り歯が! |
 |
 |
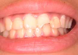
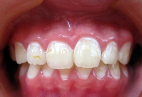
11歳のおじょうさん。
3年前に生えてきていたはずの
糸切り歯がまた出てきた?
実は今お口の中に生えている歯は
過剰歯。
形がヘンだな〜と思って
レントゲンを撮ったら
新しく膨らんできた方の歯が
本当の糸切り歯でした。
過剰歯(SNT)を抜歯して
無事糸切り歯(3)が生えてきました。 |
|
|
気をつけて!
秋口と冬に多い外傷 |
ページトップへ |
|
 |
転んだり、お友達の頭とぶつかったりして「歯が折れた」と来院される患者さんが多いのが10月(寒くなり始めだから?)と2月(体が動かないのかな?)なんです。
左の写真のように壊れてしまった前歯は大人のように被せず、レジン(プラスチック)で形をなおします。(右の写真)
そして永久歯の噛みあわせが完成したら最終処置を考えます。 |
 |
|
|
外傷‐2 |
|
 |
 |
 |
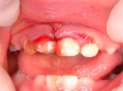
この患者さんは1歳半。右の前歯をぶつけて歯が骨にめり込んでしまいました。
このままで再び伸びてくる場合もありますが、後方にも移動していて下の前歯にぶつかってしまうので位置を戻すことにしました |
麻酔して、何とかここまで引っ張り出して、位置を前方にずらしました。 |
そして↑のようなマウスピース(スプリント:日本語では副子、添え木のことです)を入れて脱臼した歯を固定します。
2〜3週間で大体くっついてくれます。 |
3週間後、
歯は無事くっついてくれました
→ |
 |
|
|
|
こんな治療はいけません |
ページトップへ |
|
 |
 |
 |
↑は前から4番目と5番目の乳臼歯。一見別々につめてあるように見えますが右の写真のように二つくっついたものがつめてあります。これは駄目!
4番目の歯は平均で11歳ごろ、5番目の歯は12歳ごろ、と別々の時期に抜けるのに、くっついていたら困ります。それに、歯と言うのは生え変わらなくても、少し動くようにできています。歯にも良くないし、すぐに外れてしまうでしょう |
反対側の同じ部位にもこんな風に一塊になった詰物がありました。
大学では乳歯にこんな治療をしては駄目と教えているのですが・・・ |
|
|
気をつけて!乳酸菌飲料の与え方 |
ページトップへ |
|
 |
左は2歳7ヶ月の患者さんのお口の中です。
彼女は赤ちゃんの時、あまりおっぱいを飲まず、心配したお母さんは哺乳瓶で乳酸菌飲料をあげることにしました。
栄養があるし、おなかも丈夫になると思ったのです。
でも乳酸菌飲料は強い酸性です。
お砂糖が虫歯の原因になるのは歯に着いている歯垢がお砂糖を利用して酸を作り、歯を溶かすからですが、歯垢がついていなくても乳酸菌飲料やスポーツドリンクは、そのものが酸性なので歯を溶かすのです。
奥歯はごらんのとおり、全体が溶けたように穴が開いています。(上の写真)
乳酸飲料やスポーツドリンクによる虫歯の典型的なものです
この部分の虫歯はそれほど進んでいなかったので、穴の開いたところと柔らかくなったところを除去して下の写真のようにレジンをつめて治しました(中央の写真)。反対側の奥歯は神経治療が必要でした。
前歯はすっかりアタマの無い状態。神経治療をしました。(下の写真。ラバーダムをかけるのがものすごく大変でした Y(・o・)Y;;)
乳酸菌飲料やスポーツドリンクを、栄養補給や水分補給の代わりに与え続けるのはきけんです。
口の中が十分唾液で満たされている時に与えること(唾液には口の中が酸性になると、中性に戻そうとする働きがあります。寝る前とか、運動して口が渇いている時は乳酸菌飲料やスポーツドリンクはやめましょう)、一緒に水やお茶をあげる等、歯が酸性の液体に晒されている時間を長引かせないようにしましょう。
テレビのコマーシャルでは、「おなかが丈夫になる」「水分の吸収が良い」等
メリットしか放映されませんが、これら飲料は与え方によってはひどい虫歯の原因になることを、どうか覚えておいて下さい。 |
 |
 |
 |
何とか前歯を抜かずに済んだので、なるべく元の形にしました。でも長い間歯がなかったり、奥歯に痛くて噛めないところがあったためでしょうか、下顎の歯が上顎の歯の根の部分にじかにぶつかってしまうところもあり、また、向かって右の歯は歯茎の肉を少し切って治療しましたから、不自然なところもできてしまいました。
見た目が治るから良いという問題ではありません。乳酸菌飲料やイオン飲料には本当に注意したいものです。 |
右の図は市販の飲料のphを調べたものです。
歯が解け始めるのはph5前後、それより左の飲料は要注意です。
ただし、炭酸飲料は炭酸の刺激が、天然果汁や梅干しなどは酸っぱさが、唾液の分泌を促すので、乳酸飲料やスポーツ飲料より、実際の口の中は酸性になりません。
唾液が、お口の中を中性に近づけてくれるからです。
(東京都健康安全研究センターホームページより転載) |
 |
|
| |
スポーツドリンクにも注意 |
ページトップへ |
|
左は中学1年生のお口の中です。
部活が始まり、暑くなって、熱中症を心配したコーチの先生に
スポーツドリンクを頻繁に飲むよう勧められました。
そして3月までは何の問題もなかった彼の歯の5か月後。
歯茎との境い目が白くなっているのがわかりますか?
歯ブラシは上手なお子さんですが
スポーツドリンクのPH(酸)には勝てません。
以後は水か麦茶を飲んでもらうことにして、
この後の虫歯の進行は止まっていますが。 |
|
|
「こだわり」を理解すること |
ページトップへ |
|
自閉傾向のあるHくん、フッソ塗布のあと、
スタッフが壁の時計を指して「時計が6時になるまでうがいしないでね」
と言ったところ、時計の前から動かなくなりました。
お母さんやみんなで説得を試みましたが、どうしても
「この時計が6時になるまでここにいる」
と言ってユニットから降りようとしません。 |
 |
 |
そこで、タイマーを彼の目の前で30分後に鳴るようにセットしてスタートさせ、
「このタイマーが鳴ったらうがいしてね」と頼んだところ、
タイマーを大事に持って帰宅してくれました。
自閉傾向のあるお子さんは、こんな風に自分流の「こだわり」を持ちます。
彼の「こだわり」を作るようなことをしてはいけなかったんですね。 |
|
|
| ホームへ |
|
|
|