子供の歯の話
目次
1 なぜ乳歯を治療するの?
2 乳歯の虫歯の特徴
3 歯磨きについて
 (歯ブラシ事故を防ごう)
 (歯磨きのタイミングについて)
 (スポーツドリンクについて)
4 形成不全とエナメル減形成
5 シーラントについて
6 フッ素について
7 哺乳瓶・スポーツドリンクによる虫歯
8 指しゃぶりについて
9 唇のチカラ
10歯に角が生えている!
11歯をぶつけたら
一個 \400(税込み)            ホームへ
なぜ、乳歯は抜けてしまうのに、治療しなければならないのか?と思っている方へ。

 永久歯というのは生える時期が決まっています。
 前歯は6歳から8歳くらいにかけて生えてきますが、奥歯は大体10歳から12歳にかけて生え変わるのが標準です。
 右の写真は6歳児の歯の様子を、歯茎を透明にして見せたものです。
 永久歯は歯の根が3分の2ほどできたところで生えてきます。
 つまり、その前に乳歯が虫歯になって抜いてしまっても、歯のないまま過ごさなくてはならないのです。
 生まれてから十数年で体重を20倍以上に増やさなければならないような成長期に「かめない」ことは重大な問題であるのに加え、6歳で最初に乳歯の後ろに生えてくる永久歯は前に移動する癖があるので、歯の無い状態が続くと、後になって生えてくる永久歯のためのスペースがなくなってしまうのです。
 このように、乳歯は「かむ」ほかに「永久歯のためのスペースをとっておく」という役割もあるのです。
 そして、虫歯は全身の病気と違って美味しいものを食べて寝ていても治りません。
 子供が「いや」といっても治療するほかないのです。
これは6歳のこどもの歯列です
犬歯やその後ろの歯はまだ根の部分が殆ど出来ていません
目次へ

乳歯の虫歯の特徴
 
乳歯の虫歯には二つの大きな特徴があります。
 ひとつは進みが速いこと
 
私たち大人の歯は、小さな黒い虫歯の始まりがあるとすると、それが進んで痛み出すまでには何年もかかります。
 しかし乳歯の場合は、数ヶ月で神経まで進むことがあります。
「この前の幼稚園の検診では『虫歯なし』といわれたのに!」とお母さんがびっくりすることも。
 もうひとつの特徴は自覚症状が不明確なことです。
 虫歯が深くなると水や食べ物が歯にしみるようになります。
 が、6,7歳までの子供はそれを訴えることがとても少ないのです。
 「歯医者がいやだからうそをついている」のではありません。
 右の歯がしみたら左の歯で噛んでいれば痛くないから気にしないのです。
 そのうちに虫歯はどんどん進んで神経が死んでしまいます。
 神経が死ぬときは大変痛みを伴いますから、さすがに子供は「痛い痛い」と訴えます。
歯が痛くなったことのある方はご存知でしょうが、ズキンズキンするのです。
 大人の場合はこの痛みが何日も続きますが、子供の歯は一晩で神経が死んでしまいます。
 死んでしまえばもう痛みを感じませんから次の朝、子供は「もう治った」と親に報告します。
 それを信じていると大変です。
 死んだ神経の中で、ばい菌が繁殖して膿をためます。
 大切な永久歯が育っているあごの骨に膿が溜まってしまうのです。
 そして神経の死んだ歯は脆くなります。
 ただでさえ柔らかく薄い乳歯はちょっと硬いものをかむだけでぼろぼろと欠けてゆき、ふと子供の口をのぞいてみるともう、歯の頭がすっかり無くなっていたりすることもあるのです。
 おとなが、毎日、お子さんの口の中をしっかり見て歯磨きをすることは、虫歯を早く発見するためにも、とても大事なのです。
目次へ

 

歯磨きについて
 予防で一番大切なのは勿論歯磨きです
 本人や保護者の方々の歯磨きです。

歯ブラシを使い始めるのはどのくらいからが適切でしょうか?
最初に生えてくる歯は下の前歯。平均で生後6か月くらい。二本生えてきて、ますますお子さんが可愛くなる時期です。
最初はガーゼで拭くぐらいでかまいませんが、歯の形がはっきりわかるようになったら、そろそろ歯ブラシを使いましょう。
毛の短い歯ブラシを選んで先端で丸を描くようにすると歯と歯茎の境目の汚れを落とすことができます。
この、下の奥歯の裏側は舌が邪魔して
うまく歯ブラシできない方が多いのです。
ここは「裏側から」を意識しないと
歯茎との境目に歯ブラシが当たりません。
歯と舌の間に歯ブラシを差し込まなければできません。
そこで毛の短い歯ブラシが威力を発揮します。
 さて、幼稚園のうちは仕上げ磨きが常識でも、小学校に入ると子供は急にしっかりしてきて、「歯磨きの時間よ」といちいち呼ばなくても「自分で歯磨きした」と先に歯ブラシをしていたりします。
 「ああもう、子供に任せてもいいわ」と思ってはいけません。
 6歳前後から、お子さんの口には永久歯が生え始めます。
 生え始めの歯は、隣の歯と並んでいません。
 高さも向きも乳歯とは違っています。
 小学生の歯は、幼稚園児の歯より歯磨きが難しいのです。
 小学校に入ったら、「さてこれからが大人の出番だ!」と思って下さい
 歯磨きの目的は「食べかすをとる」ことではありません。
 歯の表面についたべたべたの「歯垢」を除去するのが目的です。
 そして、肝心なのが、歯と歯茎の境目にしっかり歯ブラシを当てることです。
 歯垢はつるつるの歯面につき始めるのには時間がかかりますが、汚れの残っているざらざらな面から成長するのは速いので、一日に何回もざっと磨くより、1日一回でいいから丁寧に磨くことが大事です。
 それでは何歳くらいまで仕上げをしていただきましょうか?
 私がお願いしているのは低学年のうち、すなわち3年生の終わり位まで。
 仕上げ磨きをする方のひざに頭を乗せた形での歯磨きをお願いします
なぜだかよくわからないのですが、
子供って自分の前歯を磨きません。
9歳の彼はさっき洗面所で熱心に歯磨きした後。

染め出したら前歯にこんなに汚れが!
奥歯はきれいに磨いてあったのですが。
 
 歯ブラシ事故を防ごう

「子供が歯ブラシ好きになってほしい」→「歯ブラシで遊びながら楽しくやれば好きになるかも」
そんな風に思う方も多いと思います。
スマホのアプリで、そんな風に工夫されたものも最近は出ています。
でも、子供が歯ブラシを口に入れて歩き回ったり遊んだりして起こる事故は
H19〜23の5年間で229件も起きています(東京消防庁のデータ)し、
そのあとも歯ブラシでケガをするこどもは後を絶ちません。
「母親が目を離さなければいい」というのはママに責任を押し付けすぎ。

小児歯科医とハブラシのメーカーは、歯ブラシを口に入れているときに転んでも
ケガをしないように、歯ブラシの頭が曲がるものを考えました。
お子さんが大人の真似をして自分で歯ブラシをしたがったら、
ぜひ、この歯ブラシを使ってください。

但し、歯ブラシの目的は「歯ブラシ好き」にすることではありません。
あくまでも「歯をきれいにすること」
歯垢を取り除くことです。
小学校低学年を過ぎるまではかならず仕上げ磨きをしてください。
その際にはこのような、子供用歯ブラシを使わず、
歯面や歯と歯茎のキワにしっかり歯ブラシの先があたるような
「仕上げ磨き用」の歯ブラシを使い、
仕上げ磨きをする方の膝の上にお子さんの頭を乗せて磨いてください。
   
   
歯磨きのタイミングについて

最近よく、「食後ぐに歯磨きをするとよくないって、本当ですか?」と質問されます。
「食後すぐはお口の中が酸性なので歯磨きで歯が溶ける」とマスコミで取り上げたからです。
そんなことはありません。

これらの報道のもととなったのは、実験的に酸性炭酸飲料に歯の象牙質の試験片を90秒間浸した後、口の中にもどしてその後の歯みがき開始時間の違いによる酸の浸透を調べた論文で、むし歯とは異なる「酸蝕症」の実験による見解なのです。

実際の人の口の中では、歯の表面は上記の実験で用いられた象牙質ではなく酸に対する抵抗性がより高いエナメル質によって被われています。
さらに唾液が潤っている歯の表面は酸を中和する働きがあり、酸性飲料の頻繁な摂取がないかぎり、すぐには歯が溶けないように防御機能が働いています。
つまり、一般的な食事ではこのような酸蝕症は起こりにくいと考えられます。
ですから、食後30分以内に歯ブラシをしてはいけないということはありません
ただし、歯周病などで歯根が露出している人などは気を付けたほうがいいかもしれません。ここはエナメル質におおわれていないからです。

詳しいことは小児歯科学会のホームページに書いてあります。

スポーツドリンクについて

スポーツドリンクはPHが3.6〜4.6と強い酸性のため、それ自体で歯を溶かすので歯ブラシは必ずしも有効ではありません。唾液の分泌が少ないとき(口が渇いているとき)に少しずつ飲んだり、哺乳瓶で寝る前に与えたりしないことが大事です。このことについては小児歯科学会のホームページに詳しく書いてあります。
 右の図は市販の飲料のphを調べたものです。
 歯が解け始めるのはph5前後、それより左の飲料は要注意です。
 ただし、炭酸飲料は炭酸の刺激が、天然果汁や梅干しなどは酸っぱさが、唾液の分泌を促すので、乳酸飲料やスポーツ飲料より、実際の口の中は酸性になりません。
 唾液が、お口の中を中性に近づけてくれるからです。

(図は東京都健康安全研究センターホームページより転載)
  目次へ
 
形成不全症とエナメル減形成

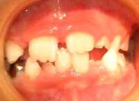
 時々、保健センターの1歳半児検診で、虫歯を見て「これは形成不全」といわれ、直す必要はないですよ、といわれる患者さんがいるようです。「形成不全症」というのは遺伝性の病気で、エナメル質、または象牙質の元となる細胞がうまく作られなかったものです。お口中の全部の歯が茶色っぽくなったり白っぽくなったりします(右上下写真)。
 検診した方が言いたかったのは「減形成」のことでしょう。減形成はエナメル質ができる(カルシウムが沈着して硬くなる)時の異常で、一本の歯、またはお口の中の一部の歯に起こります。原因はいくつかあります。
 乳歯の場合はお母さんのおなかの中にいる時にエナメル質が硬くなりますから、お母さんの体が不調だった時期に対応して部分的に左右対称に茶色くなります。歯の表だけとか裏だけとか右の歯だけ茶色くなることはありません。

 永久歯の場合ですが、先行する乳歯の異常に関係するものがほとんどです。その下にある永久歯が作られる時期にぶつけたり、進行した虫歯のために根の先に膿がたまった状態が続いていたりすると、エナメル質がうまく作られず、その時期に対応した部分が茶色くなります(右写真)。
下の写真のように歯の外側だけ、左右非対称の場所に茶色い穴が開いているのはやはり虫歯です。
目次へ

 
画面の上にポイントを置いてみてください。
6歳臼歯の溝が浅くなっているのがわかりますか?
プラスチックで埋められています。シーラントがついている限りここからの虫歯は考えられません。
シーラントについて
 
 6歳臼歯は、6歳ごろ、乳歯の後ろに生えてくる歯ですが、とても虫歯になりやすい歯です。今の大人では、8〜9割の人がこの歯を、子供のうちに削られているのではないかと思います。
 なぜかというと、まず、歯というのは生えてきてすぐの数年間、質の弱い状態が続きます。
 それから、6歳臼歯は溝がとても深く、歯ブラシの毛先が届きにくいのです。今までの歯よりも奥に生えてきます。
 また、下の歯は舌の方に向き、上の歯はほっぺた側に向いてはえてきますから乳歯のついでに歯ブラシをするつもりではうまく磨けません。
 それなのに子供が急にしっかりして、ほかのことは何でも自分でできるようになる、6歳ごろ生えて来るので、つい「もう小学生なんだから自分で磨きなさい」なんて言ってしまいます。

 質が悪く、形が悪く、位置が悪く、向きが悪く、時期が悪いのですから虫歯になりやすい、特に溝からの虫歯がとても多いのです。
 そこで、小児歯科医はこの溝を埋めてしまう「シーラント」という予防処置を考え出しました。溝の底部をプラスチックで埋めてしまう処置で、麻酔も要らないし、歯を削らない処置です。
 なりかけの虫歯くらいなら歯を削らずにシーラントをしたほうがいいと思います。
目次へ
フッ素について

 フッ素を塗ると虫歯が予防できる、ということはお聞きになったことがあると思います。
 このことを「フッ素を塗ると、歯の表面にフッ素膜ができて虫歯菌をよせつけない」と思っていらっしゃる方が殆どのようですが、違います。
 フッ素は膜を作ったりしません
 フッ素は年に数回、定期的に塗りますが、それはフッ素膜が剥がれるからではないのです。
 糖分を含んだ食べ物が口に入ると歯垢の中のばい菌がその糖を利用して酸を作ります。
 この酸が、歯の表面の結晶からカルシウムを溶かし、結晶を壊します。
  これが虫歯の始まり、歯の表面の脱灰です。
 (カルシウム分を失うことを脱灰、カルシウム分が入ることを石灰化といいます)
 ところで、食べ物を噛むと唾液が出ますよネ。
 唾液は口の中の酸性の状態を中和します。
 それから、唾液中には歯よりも大量のカルシウムが含まれているため、脱灰されてしまった歯の部分を再石灰化させることができます。
 唾液は初期の虫歯を治す力を持っているのです。
 しかし、唾液の能力や、量、歯の質、ばい菌の活性、歯並びや歯の形による歯ブラシのしやすさなどには大きな個人差があります。
 脱灰部分が唾液の力で再石灰化される人は虫歯になりませんが、再石灰化よりも脱灰のスピードが大きい人では、虫歯は初期から次の段階に進み、黒くなったり穴が開いたりします。
 そこでフッ素の出番です。
 唾液中に微量のフッ素があると再石灰化を促します。
 
そして微量のフッ素が含まれた唾液の中で再石灰化された歯の結晶は壊れにくい、丈夫な性質を持っていることがわかっています。
 このようにして、ッ素は歯を守り、歯の質を強くするのです。
 はえたての歯は、私たち大人の歯より質が弱いので、結晶が壊れやすく、それは言い換えれば、フッ素の入るチャンスも多いので、子供時代に行うフッ素塗布は大変効果的です。
 アメリカや北欧では、水道水にフッ素を添加していますから、食事のたびに適量のフッ素が口に入ります。
 それらの国で子供の虫歯が少ないのはそんなわけです。
目次へ

母乳虫歯・哺乳瓶虫歯・スポーツドリンクによるむし歯

 1歳を過ぎても母乳を続けていたり、哺乳びんでミルクを与え続けたり、スポーツドリンクを飲ませてそのまま寝かせたりすると、上の前歯に特徴的な虫歯が出来ます。
この「母乳虫歯・哺乳瓶むし歯」と名づけられた虫歯は、歯全体を溶かしたり、裏側の、神経に近いところに広がったりしてひどい虫歯になりがちです。神経が死ぬと歯が脆くなり、ポロポロ欠けてきて3歳くらいでもう歯の頭の部分がなくなってしまったお子さんもあります。
このお子さんはまだ2歳前です。
いつも哺乳瓶でミルクを飲みながら
眠りについていました。
歯の裏側にも
大きな穴が開いています
小児歯科の専門医なら
悪くなったところを取って
レジンで元のように出来ますが
哺乳瓶を続ければまた周りから
虫歯が出来てしまいます
 フッ素についての項目で述べたように、歯の表面になりかけの虫歯が出来始めても、そこに唾液が流れれば再石灰化が起こります。
 ところが、ミルクやスポーツドリンクを口に含んでそのまま仰向けにされると、奥歯や下の歯には唾液が流れますが、上の前歯の周りには、唾液の出口がないため、この部分だけ、歯を溶かす実験場のようになってしまいます。
 1歳代、2歳代で「虫歯が出来てしまいました」と来院されるお子さんのほとんどは、まだお母さんが母乳か哺乳瓶で寝かしつけている方です。
 但し、むし歯のことだけを考えれば、少なくとも母乳やミルクの前か後に歯磨きをすれば防げると思います。
(スポーツドリンクはPHが3.6〜4.6と強い酸性のため、それ自体で歯を溶かすので歯ブラシは必ずしも有効ではありません。長期にわたって与え続けないことが大事です。このことについては小児歯科のホームページに詳しく書いてあります。)
 母乳や哺乳瓶がやめられなくて困るのは虫歯が出来ることだけではありません。
 お母さんに「お子さんは夜中に目を覚ましませんか?」と聞くと、たいてい「はい、夜泣きをするので、またおっぱいやミルクをあげることになるんです」と言う答えが返ってきます。
 寝る前に甘いものを飲むから、夜中にのどが渇いて目を覚ましてしまうのです。
 1歳を過ぎて夜中に起きるのでは、お母さんの体だって大変だし、お子さんも、連続した睡眠時間が取れないことになります。
 また、夜中じゅう、胃を動かすのですから、朝起きたときに胃もたれ感が残るに違いありません。
 それでは朝ごはんをたくさん食べられないでしょう。
 夜寝る前は歯を磨き、水かお茶をコップで飲んで喉の渇きを押さえ、しっかり睡眠をとって、朝、おなかがすいてご飯を食べる、それが正しいリズムです。
 母乳を止めたあとお母さんに様子を聞くと、必ず「夜中に起きなくなりました」とおっしゃいます
 それではなぜ、小児科の先生は「自然にやめるまでおっぱいをあげなさい」とおっしゃるのでしょうか?
思うに、これは男の先生の考えではないでしょうか。
 「母乳を与える姿は美しい。それこそは母と子のふれあいである」と。
 でも、私は自分自身の経験から思います。
 泣いているとき、ミルクやおっぱいをあげると魔法のように子供が黙るので楽なのです。
 お父さんに「うるさい、子供を泣かせるな」なんて言われなければ少しくらいの泣き声は我慢するのですが。
 母乳をやめるのは、実はそんなに難しくはないのです。
 「母乳をやめて」とお願いしてその次の来院のときに「どうでしたか?」と聞くと、9割がたのお母さんは「あんまりあっさり止められてがっかりしました。」とおっしゃいます。
 子供のほうではもう、口や舌をくちゅくちゅする気持ちよさがなくても、昼間体を動かした疲れで気持ちよく眠れる年齢になっているのです。
 だから、私は、厚生省が何と言おうと、やっぱり「母乳も哺乳瓶も一才を過ぎたらやめましょう」と指導するのです。

目次へ
指しゃぶりについて
  「指をしゃぶってはいけません。出っ歯になります」と、アドバイスする歯医者さんが多いと思います。
 間違いではありませんが、指しゃぶりについては年齢によって対応が違います。
 まず、赤ちゃんが指をしゃぶるのは当たり前の行動で、心配なさる必要はありません。
 2,3歳までそれが続くこともよくあります。この時期にも、「指をしゃぶってはだめ」と禁止する必要はありません。
 5歳より前に指しゃぶりをやめた場合、ほとんどのケースで歯並びに支障をきたさなかった、という発表もあります。
 それに、指しゃぶりは、お子さんご本人の内面の変化や、生活の変化に伴って消失することが多いのです。
 例えば、3歳になると急にお子さんは成長し、それまでの一人遊びが友達との遊びになります。
 あるいは、4歳になって幼稚園に入ると、集団での行動が必要になります。
 そういう変化をきっかけに、指しゃぶりをしなくなることが多いのです。
 ですから私は「幼稚園に入るまでは、指しゃぶりを無理に止めさせなくてもいいですよ」とアドバイスすることにしています。
 さて、問題は幼稚園に入り、年長組になり、小学校に入ってもまだ指しゃぶりが止められないお子さんです。
 小学校の低学年は顎の成長時期。永久歯の前歯が指しゃぶりの影響を受けて「出っ歯」になると、ものを飲み込むとき、上下の歯と歯の間に舌をはさむ癖がつきます。歯の後ろ側の部分が陰圧にならないと物を飲み込めないためです。後ろから舌で押されるともっと出っ歯になってしまい、更に舌を突き出す癖がひどくなり、悪循環から「開咬」を招いたりします。そして小学校に入ってから、指しゃぶりを止めるのはとても難しいようです。
これが「開咬」です。奥歯が咬み合わさっているのに、前歯に隙間があります。

 ところで指しゃぶりをするのはどんなお子さんでしょうか?
@身体の大きなお子さん。
A3,4歳も年が離れているように見える年子の、お姉(兄)ちゃん。
Bまるで双子のように見える、年子の妹(弟)さん。
C一人っ子で大人に囲まれている、あるいはとても年の離れたお兄ちゃんやお姉ちゃんがいるお子さん。

 これらのお子さんの共通点は分かりますか?
 私の解釈は:「自分の能力を超えたものを要求されてしまう子供」です。しかもその要求にこたえる能力があるために、いつも無理をしなければならない立場に立ってしまうお子さんです。
 @4歳なのに5歳、6歳のような体格だと、親はともかく周りの大人はつい5,6歳の子供に対するような口の聞き方をし、扱いをしてしまいます。体の小さい子が出来ると「すごいね」と言われるのに、体が大きいばかりに「当たり前でしょ」となってしまうのです。とても損です。
 AB「年子」というのは微妙なようです。「公平に」と思うと下の子に負担が掛かり、「お姉ちゃんだから」を意識すると上の子に負担が掛かるのではないでしょうか?
 C一人っ子で大人に囲まれている、あるいはとても年の離れたお兄ちゃんやお姉ちゃんがいるお子さんは、家の中では問題は無いのですが、ひとたび同年齢のお子さんの中に入ると、「口の利き方の大人びた子」や「特別な物識り」になってしまいます。身体が小さくても@のお子さんのように、年よりも上の扱いを受けてしまうのだと思います。
 だから、「指なんかくわえていると赤ちゃんみたいだから止めなさい」という言い方は避けてほしいもしかするとお子さんにとって一番辛い指摘かもしれないからです。
 でも、「もっと努力しないように。」「赤ちゃんのようにしなさい。」「出来ない振りをしなさい」などということは言えませんよね
 「出来る」ことは悪いことではないのですから。
 ではどうしたらいいでしょう?私はまず、まわりの大人の方々に、「あなたの気持ち、分かるわよ。いつもがんばっているわよね。」ということを、折に触れて言葉で伝えてほしいと思います。
 自分が結構大変である、ということを、大人がちゃんと分かっていてくれれば、お子さんはずいぶん気が楽だと思うのです。でも「分かってもらっている」ことがしっかりお子さんに伝わっていなければいけません。
  もっともこれがすぐに指しゃぶりをなくすことには直結しないかもしれませんが。
 最後に小児科のお医者さんに「指しゃぶりはお母さんの愛情不足だ」、そして、ご丁寧にも「愛情不足を補うのに指しゃぶりは必要なものだ」といわれた方がありましたが、それは大いなる間違いだと思います。
 指しゃぶりに対してお母さんが「愛情不足」などと決め付けられるいわれはありません。
 そしてもし本当に愛情が不足しているのなら、指しゃぶりで代償させるのではなくて、不足しないように愛情を与えなければならないと思いませんか?
目次へ

 
唇のチカラ
「永久歯の前歯が変なところに変な方向に生えてきて心配です。矯正しないといけないのではないでしょうか?」診療室で6歳児の保護者の方からよく受ける質問です。
 実は永久歯の前歯は変な風に生えてくるほうが普通なのです。中央が離れてすきっ歯になっており、捻れています。この時期、7,8歳までの子供のお口の中を私たち小児歯科医は「みにくいアヒルの子の時期(Ugly Duckling stage)」と名づけています。

 右の2枚の写真は同じお子さんのものです。
両脇の歯が2本とも萌えきると中央の歯は並んでくれるんです。

 ですから お母様方には、「両脇の歯が生えてきて押されることで中央の隙間はなくなり、前からは唇の力で、後ろからは舌の力で押されるのでねじれは治ってきます。今の時点で心配する必要はありません。」と説明します。
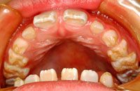
6才・みにくいアヒルの子の時期
4年後にはこんな歯並びに
しかし、後ろからの舌の力は誰でもほぼ同じように掛かりますが、『前からの唇の力』は、口を閉じていてはじめて掛かる力です。口を開けているときには掛からない力です。
 つまり、いつも口を開けっ放しのお子さんにはこの「唇のチカラ」が不足するので、ねじれを治す重要な要素がひとつ損なわれています。また、後ろからの舌の力はそのままで前から押す力が無いわけですから、「指しゃぶり」の項目で述べた「開咬」や「上下顎前突」(上下出っ歯)をつくる原因になるのです。
 口を開けっ放しにしているのは口で息をしているときです。
 小学校の授業参観に行くと、3,4年生くらいまでのお子さんはほとんど皆、先生のお話を口を開けたまま聞いているように見えませんか?
 じつは子供の扁桃腺は10〜11歳くらいがピークの大きさなので、鼻で息をしづらいのです。でも、病的な扁桃腺肥大でない限り、鼻呼吸が出来ないほどではありません。「口を閉じなさい」と言われれば口を閉じて鼻で呼吸することは出来るはずなのです。
 ぼけっと口をあけたままテレビを見ているお子さんに「口を閉じて」と軽く注意すればいいと思います。だんだん、自分で口を閉じているほうが普通の状態であるようにもっていってほしいのです。
 ただし、耳鼻科的な疾患のあるお子さんはそうは行きません。蓄膿症、アデノイド、慢性的なアレルギー性鼻炎などがあると、鼻で呼吸することが出来ません。ですから、これらの耳鼻科の病気のあるお子さんはしっかり病気を治さないと、よい歯並びを確保できなくなってしまう恐れがあるのです。
 耳鼻科のお医者様には「歯並びくらいいいじゃないか」と言われてしまうかもしれませんが、口呼吸は開咬を招き、開咬は口呼吸を招くという悪循環に陥ります。実は大人になってからの口呼吸は、ひどい歯槽膿漏の原因になるのです。見かけだけの問題では済まされません。耳鼻科にしっかり通って病気を治し、口を閉じて鼻で呼吸できるようにすることはとても大事です。
 ところで、「口を閉じる」ために重要なのが「姿勢」です。
 背中を丸めて猫背になって、前方を見ようとしてみてください。顔が上を向くので、顎は下に引っ張られるでしょう?
 今度は背中を伸ばして同じ高さのものを見てみてください。顎が引けて簡単に口を閉じた状態になりますね。
  背筋を伸ばすこと、よい姿勢を保つことは全身のためにも勿論いいことですが、口を閉じる癖をつけるにも役立つのです。
 お子さんには是非「ハイ、背中まっすぐにして口閉じて」とコンビで注意してください。
 人に言うことで、ホラ、あなたも背筋を伸ばすようになりますよ。
 
目次へ


歯にツノが生えている!
左の写真みたいに歯に角が生えていたら要注意です。これは「中心結節」と言う名前です。この角の中にはちゃんと神経が通っています。でもこんなとんがった細い部分、上の歯とあたったら折れてしまいそうですよね。
 実際に折れてしまうと右の写真のようになります。(同じ患者さんの反対側の歯です)
 外からは見えないほどの細い神経ですが、神経が露出してしまいますから、ここからばい菌が入り、神経に炎症を起こします。むし歯でもないのに急な激しい痛みが起こり、神経治療が必要になります。
 そこでおとうさんおかあさんたちにおねがい!
 4年生を過ぎても、お子さんのお口の中をマメに覗いてください。こんな角を見つけたら歯医者さんに行って左下の写真のようにツノを埋めてもらってください。
 上の歯とあたっても折れずに磨り減ってくれるのなら神経は露出しません。かみ合わせによって徐々に磨り減るのなら神経は自分で段々小さくなってくれるのです。
目次へ

歯をぶつけたら

まず歯の状態をよくみてください。お口の中の怪我は血と唾液が混じるので実際よりも出血が多いように見えますが、案外たいしたことがないことが多いので冷静に観察してください。
歯は元の位置にありますか?ぐらついていますか?
1.元の位置にある 歯がぐらぐらしていない 様子を見ましょう。食事が摂れるようなら大丈夫。しばらくしても痛みを訴えるようなら、念のため歯科を受診してください。
ぐらついていないが歯が折れている
神経まで達していない 歯の形を元通りにします。お子さんの場合は大きく欠けていても、大人のように被せる形にせず、レジン(プラスチック)で形を治します。見栄えは少し劣りますが、咬みあわせが定まらない時期にはあまり歯質を削らずに出来る治療が望ましいのです。
神経が露出している 神経の治療をしてから形を治します。はじめに神経が露出していなくても数ヶ月後に神経の炎症が起きて痛みが出ることもあります。そういう場合も神経治療が必要になります。
歯がぐらぐらしている  もし、抜け変わる寸前の乳歯なら、(つまり6,7歳のお子さんの下の前歯など)放っておいてかまわないでしょう。ただし、お子さん本人が歯のぐらぐらをあまり気にするようなら、歯医者さんで抜いてもらいましょう。
 まだ抜けては困る時期の乳歯や永久歯だったら、歯医者さんに行きましょう。歯医者さんでレントゲン診査をします。
歯の根に異常が無ければ ぐらぐらの歯を隣の歯に固定します。2〜4週間で元通り顎の骨にくっつくのが普通です。
歯の根が折れていたら 根が折れている位置が問題になります。それによって、上記と同じように固定して様子を見ることもありますが、抜歯が必要かもしれません。
2.歯が口の中の違うところに移動してしまった すぐに歯科へ 麻酔をして歯を元の位置に戻し、隣の歯と固定します。小さな赤ちゃんでは隣の歯だけでは固定できないのでマウスピースのような副子(骨折の場合の添え木)を作ってお口に入れます。やはり2〜4週間固定します。
3.歯が口の外に飛び出てしまった 歯を探してそれを持って歯科へ 歯は汚れていたらざっと(ごしごし洗ってはだめです)洗い、お母さんのお口の中(舌の下が安全です)か牛乳に入れて、お子さんを連れて歯科医院に来てください。歯の神経処置をした後、お子さんのお口の中に戻し、上記と同じように固定します。あるいは先に顎に戻し、くっついたら神経治療をします。歯が取れて50分以内ならほとんどの歯が普通にくっついて治るというデータがあります。急いで!来て下さい。
目次へ
ホームへ