 |
| ホームへ |
1.私たちが選ぶ材料/子どもの前歯でも
2.電動歯ブラシの貸し出し
3.レーザー治療
4.私たちにとっての予約診療・急患の方へ
5.私たちが夜間診療をしない理由 |
☆歯を大きく削りたくない!
☆白い歯がすき! |
むし歯部分が小さいなら「充填」=詰め物をします。この「詰め物」の材料に、私たちはなるべく「白い」材料を選んでいます。
(むし歯部分が大きい場合は詰め物では無理です。保険治療なら全部被せる冠にします。) |
|
| 保険適応の材料の種類 |
レジン
(プラスチック) |
充填に、私たちはレジンを使います。理由は色々あります。
まず、一本の歯に複数の小さなむし歯部分があるとき、レジンを使うのなら、その部分だけ削り、詰めればいいので歯質の削除量を最小限にすることが出来ます。
レジンは歯の色をしているものです。白っぽい歯から黄色っぽい歯、くろっぽい歯まで数十種類の色が揃っていて各歯冠色に合わせて色を選びます。審美性に優れているので、前歯には昔から使われていましたが、今は強度も、耐磨耗性もアップして奥歯にも十分使えます。
型を採る必要が無いので一度の来院で出来ます。
レジンはセメントでつけるのではなく、歯にじかに詰めます。あらかじめ歯に表面処理を施し、深さ30ミクロンほどの細かい凹凸をつくり、そこに流れのよいレジンを流し込むことによって歯に接着させます。むし歯部分が残っているとレジンは接着しません。また、この凹凸部分が唾液に触れると平らになってしまい、レジンが接着しません。従って、むし歯部分を確実に除去することと、唾液に触れないようにすることが必須です。だからラバーダムと麻酔(神経の生きている歯であれば)が必要になるのです。 |
| アマルガム |
つい30年ほど前までは奥歯の咬合面(咬み合わせの面)の狭い範囲の充填によく使われていました。しかし水銀が含まれており、廃棄による環境汚染の問題があること、材料自体も、周辺の歯質も経時的に黒く変色することから現在ではあまり使われていません。私たちは特殊な場合を除き全く使っていません。 |
| インレー |
型を採り、金属で詰め物を作ってセメントでつけるものです。一本の歯に複数のインレーを入れることはしません。一塊の詰め物にしますからレジンのように、「小さな虫歯はその部分だけ削る」ということが出来ません。金属を使うと、広い範囲のむし歯を覆うことが出来ますが、保険では広い範囲を削る場合には歯冠すべてを覆うように決められています。結果的に削除する歯質が大きくなるので、私たちはこの方法も原則的には使いません。ただし、すでに大きく削って金属を入れてある場合や、虫歯の形によって、レジン充填が不可能な場合もあります。 |
|
実際の写真をご覧ください。

右上の第一大臼歯 |
どちらも歯と歯の間に出来たむし歯部分を取り除き、詰めたものです。
白い線で囲んだ部分がレジンです。
左の写真のレジン充填は溝の部分を削らず、
シーラントをしてあります。
レジンもシーラントもプラスチックなのでそれが可能です。
インレーは金属なので溝だけシーラントをすることはできず、
従って右の写真のように大きく歯を削ることになるのです。 |

左上の第一大臼歯 |
これらの歯はみな
同じ患者さんの歯です。
レントゲンではどれも
むし歯の大きさは
同じくらいでした。
(他の歯科で治療する
前に撮ったレントゲン) |
 |
|
 |
| 左下の第一大臼歯 |
|
右下の第一大臼歯 |
|
むし歯部分が
大きければ
大きく削ることに
なりますが、
若い人の歯は
やはり削らないほうが
いいでしょう。 |
|
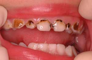
| 子どもの前歯でも |
 |
 |
進行止めのためのサホライドを塗ると
こんな風に黒くなります。
ごく表面の虫歯は茶色くなります。
穴は開いたままです。 |
虫歯部分を取り除き、レジンで治すと
きれいになります。
ラバーダム下なら安全で確実にできます。
3歳でも、前歯がきれいな方が私は好きです。 |
|
| ☆電動歯ブラシの貸し出し |
|
 |
これは「ソニッケア」という商品です。
歯ブラシの圧の調整や、ブラシ部分の形態が工夫されていて
歯肉疾患の患者さんや、歯並びの関係で歯ブラシが難しい方、
手の歯磨き法に自信のない方に向いています。
ただ、他の電動歯ブラシに比べて高価です。
そこで、『この方には電動歯ブラシが適応』と判断した
患者さんたちに、無料で貸し出しを行っています。
ガス滅菌機を購入したのも、歯ブラシのヘッドを
きちんと滅菌したかったからです。
安心してお使いいただけますので、ぜひお試しください。
しかしいくら動きが良くても、ちゃんと歯面に歯ブラシが当っていなくては
清掃効果がありません。
やはり普通の歯ブラシがちゃんと歯面に当てられるようにしてから
お使いになるよう、お勧めいたします。 |
|
☆レーザー治療
診断に使う
レーザー |
 |
先端を歯のみぞにあてると、ウィンドウに数値が表示されます。全然虫歯が無い部分では数値はゼロ、中の方まで(象牙質まで)虫歯が進んでいると80〜99といった高い数値が表示されます。30前後の数値までなら歯を削らず、せいぜいシーラント、その間の数値なら溝の中をよく清掃してみます。 |
治療に使う
レーザー |
 |
歯に被さるようになっている歯肉を切除したり、頬小帯という、頬と歯茎をつなぐ紐が短すぎて入れ歯が入れられない場合や、舌小帯という、舌の下の紐が短すぎて発音や摂食がうまくできない場合、それらの小帯を切除します。ほとんど麻酔が要らず、縫合の必要がなく、出血もありません。
また、歯周病のポケット内の清掃にも大変効果的です。
虫歯になりかけている歯の溝の予防にも使えます。 |
痛みを軽減する
レーザー |
 |
原因不明の歯の痛みや、いずれ落ち着くはずの歯の痛みを軽減します。歯の根の先端部分に当たる歯肉を暖め、血行を良くすることで痛みが軽減するといわれています。 |
|
|
ぜひ理解していただきたいことがあります。
私たちにとって「予約時間」とは、その患者さんのために確保してある時間です。
大幅な遅刻をされたり、突然キャンセルされるとその時間には他の患者さんは入っていませんから、私たちにとっては無駄な時間になりますし、次の患者さんの治療開始時間も遅れてしまいます。
他の患者さんを断ってあなたのために確保した時間だということをわかってください。
勿論、歯の治療よりも大事な用事ができることだってたくさんあると思います。予約変更の場合はなるべく早めにお電話をください。
それから申し訳ないことなのですが、歯科治療は人間を相手にしているので30分で終わる予定の治療に4.50分かかってしまうこともあるのです。
でも私たちは「時間がないから治療を簡単に切り上げる」ことは極力したくないのです。
予約治療なのにお待たせしてしまうこともあるのは、決して治療不可能な人数の予約を入れているわけでもなく、休んでお茶を飲んでいるわけでもなく、そういうわけなのです。
お互いに納得の行く治療をするために行っている予約診療であるということをどうぞご理解ください。 |
|
|
歯や歯茎の痛みのある方や、緊急の方(歯をぶつけて折ってしまった、など)は勿論、予約がなくても診療いたします。
でも、「痛みがある」状態になってからの来院は、時間の掛かる治療になることが多いのです。
急患でいらした方は予約の患者さんと患者さんの合間に治療することになりますから、急患の方には「予約の患者さんがいらっしゃるので少しお待ちください」ということになります。そして続く予約時間の患者さんも、少しお待たせすることになってしまいます。
私たちは予約時間にいらした方をお待たせするのも心苦しいし、かといって、痛みの原因を取り除く方法があるのに痛み止めだけ差し上げることもしたくないし、というジレンマに陥ってしまいます。
「穴が開いているのは分かっていたのですが面倒で」「時々痛むことはあったのですが放っておいたら我慢できなくなりました」という急患の方の、なんと多いことか!! どうぞ辛い思いをする前に、虫歯の治療を済ませてください。歯周病の予防にも力を入れ、歯茎に膿が溜まって腫れたりしないようにてください。 |
| |
★こんなケースも
「ゆうべから子供が痛がっているので診て下さい」
「それでは今からいらして下さい」
「もう学校に行きましたので夕方の一番遅い予約にしてください」
こんな電話がよくあります。 夕方の予約を希望される患者さんは多いので、当日の予約があいていることはありませんから、
痛がっているお子さんを、来院されてからまた、お待たせすることになるでしょう。
「えー?行ってからまた待つんですか?!」
と、いって、何週間も前からの治療のお約束を反故にはできません。
そこで、「もし食べるのにも支障があるなら早退してお給食の前にいらした方がよくないでしょうか?」
と言ったところ
「なんてこというんですか!学校を休ませろなんてとんでもない!!」
と怒り出したお母さまがいらっしゃいました。
歯の痛みと学校とどちらを重視するかはお母さまの考え方ですから、
夕方まで我慢させるかどうかは、お母さまの判断にゆだねますけれども、
受付がこういう提案をするのは間違っていないでしょう。
怒らないでくださいね。 |
|
|
☆「仕事や学校が終わってから治療してほしい」とおっしゃる方へ。
|
現代社会ではそんなニーズも考えなければいけないのかもしれませんが。
マミー歯科は開業当時、小児歯科専門で、夕方は5時までしか診療していませんでした。6時近くなって麻酔されたお子さんが夕食をとる時間はどうしても7時から8時くらいになってしまうからです。今も、小さいお子さんはなるべく4時頃までのアポイントにしていただいています。「学校と塾があるので」「部活があるので」夕方の遅い時間を希望される方のなんと多いことか!ただでさえ気の重い歯科治療、つかれきった身体で受けに来るお子さんは気の毒です。
大人の方でも同じです。一日の仕事を目一杯がんばってぐったりして夜8時、9時に歯科治療を受けるのは体の負担が大きくて危険なのです。それは歯科医の側も同じです。歯科治療はとても集中力の要るものです。夜になって集中力の低下した状態では治療したくないのです。
コンビニで買い物するのではありません、医療行為を受けるのですから、日常のことはすべて終わらせて、余った時間を歯科治療に当てるのはいかがなものか、と思います。 |
|
| ホームへ |