| 質問 |
答え |
| まだ小さいので泣いたり暴れたりしてしまうと思いますが治療できますか?(予約の電話で) |
院長は小児歯科医としての訓練を受けていますので必要であれば泣いたり暴れたりしても治療できます。しかし、削る道具を使う場合は危険ですのでしっかり抑える必要があります。身体の抑制に、レストレーナーと呼ばれる抑制具が必要かもしれません。人が抑えるほうが一見優しそうですが例えば膝の関節などは逆に入るほど抑えないと動いてしまうので、ネットで抑えて、動きだけを抑制するレストレーナーのほうが患者さんが痛くありません。しかし原則的に3歳を過ぎれば抑制具は必要ありません。 |
| 前歯に保険がきかないというのは本当ですか? |
保険で決められた材料を使用すれば保険で出来ます。被せる場合も、さし歯にする場合も、使用する材料によって決められています。保険のものは、白い部分に決められた種類のプラスチックを使い、金属部分に銀合金を使います。保険がきかないのは、使用金属が金、プラチナなどの場合や、白い部分を陶材にする場合などです。陶材はプラスチックに比べ丈夫で歯に近い色調や質感、透明度が長持ちしますから根の部分の状態がよくて長く使うならお勧めです。歯の状態や患者さんのお口の中の状態によってどんな材料がよいか相談することにしています。
ただし、犬歯より後ろの歯に被せるものを白くする場合はすべて保険適応外です。 |
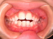
| 上の永久歯の前歯が2本生えてきたのですが変な方向を向いています。歯並びが悪くならないでしょうか? |
実は永久歯の前歯は変な風に生えてくるほうが普通なのです。中央が離れてすきっ歯になっており、捻れています。この時期、7,8歳の子供のお口の中を私たち小児歯科医は「みにくいアヒルの子の時期(Ugly
Duckling stage)」と名づけています。
両脇の歯が生えてきて押されることで中央の隙間はなくなり、前からは唇の力で、後ろからは舌の力で押されるので捻れが直ります。また、両脇の歯が生える時期に顎の幅が広がります。前歯4本が生え揃うまで歯並びは決まらないのでこの時点で歯並びを心配する必要はありません。最終的に綺麗に並ぶかどうかは顎の大きさと歯の大きさで決まりますが、それを決定する因子は遺伝です。お父さんかお母さんの歯並びと大体同じになります。 |
 |
| こんな風に萌えてくるのが普通です。 |
|
むし歯の治療は一本治すのに何回通えばいいのですか?
歯槽膿漏だと何回かかりますか? |
「一本につき何回」という考え方は出来ません。小さな虫歯なら一回の治療で詰めてしまって終わりになりますが、神経や根の治療は何回かかるかまったく予想できません。根や根の周りの組織の状態がよくなるのを待って次の段階に進まなければならないし、なんと言っても相手は人間の体ですから。
特に歯槽膿漏の治療は期間や回数が予測できません。
風邪をひいたとき「薬を何回飲めば治りますか?」とお医者さんに聞くことはないでしょう?それに暖かくして静かに寝ている人と、無理して仕事を続けながら薬を飲んでいる人では薬の効力も違いますよね。
歯科の治療も同じです。同じ治療、同じ薬でも人によって効果は一律ではなく、また患者さんの努力に負うところも大きいのです。 |
| 歯石がたまりやすいのですが定期的に歯医者さんでとってもらったほうが良いですか? |
実は「歯石をとる」というのは厚生省で決めた保険制度では、治療として認められていないのです。「歯石」は病気ではなく歯周病の患者さんのお口の中の「状態」であるに過ぎないから、というわけです。「歯周病の治療」というのは歯石除去のみではなく「歯石が付かないようにするための治療全体」を指すのです。そして治療が功を奏しているかどうかを治療の前後に評価することが求められています。レントゲンや、歯のポケットの深さを詳しく診査し、記録してから歯石を取るように指導されています。
そういうわけで「歯石だけ取ってください、それを保険でやってください」といわれると私たち保険医はちょっと困ってしまうのです。
歯周病の患者さんは、「歯石さえなくなればよい」と思わず、お口の状態をよくするための努力をお願いします。 |
| 学校の検診で「歯並びやかみ合わせの異常」という項目に丸がついてきましたが、いつごろから矯正を始めたら良いのでしょう? |
「いつ矯正を始めるか」については、小児歯科の先生、矯正の先生の間でもいろいろな意見があります。「早いほど良い」という先生もたくさんいらっしゃいます、が、私個人の意見としてはあまり焦らないほうが良いと思っています。長期間お口に装置を入れて、それを使いこなす必要のある矯正治療にはご本人の協力が欠かせない要素なので、お子さんが「別にこの歯並びでもかまわない」と思っている間は無理に始めないほうが良いと思うのです。装置には多少の不快感を伴うでしょうし、ガムを食べない、とかお餅を我慢する、とか制約も出来るし、歯ブラシも難しいけれどしっかりしてもらわなければなりません。自分から「歯並びを直したい」と思って始めれば協力が期待できますから。
ただ前歯の歯並びの悪い、いわゆる「乱ぐい歯」などは大人になってから矯正を考えても大丈夫ですが、噛みあわせが反対のお子さん(下の歯が上の歯よりも前に出ている)は、小学校の終わりか中学の初めくらいまでに矯正の先生にご相談なさったほうが良いでしょう。急に身長が伸び始めるこの時期には、下あごの骨も急成長するからです。
また、乱ぐい歯や反対咬合に比べると外見はそれほど気にならないかもしれないけれど、本人の生活に関わるのが「開咬」という、奥歯が咬んでいる状態のときに前歯に隙間がある咬み合せです。これは指しゃぶりやタオルしゃぶりが長い間続いたりするのが原因でその後舌を突き出して飲み込む癖がついてしまった場合によく起こります。このような癖は早めに治す必要があるので前歯の歯並びが確定した小学校3,4年生の時点で矯正の先生に相談したほうが良いと思います。発音や、ものを噛み切る能力が劣るので顔つきには表れなくても不便です。 |
 |
左の写真が「開咬」です。
奥歯が咬んでいる状態なのに、上下の前歯の間に隙間があります。
上下の前歯をくっつけて発音する必要のある「サシスセソ」、
そこに舌をおいて発音する「タチツテト」が「tha,thi,thu,the,tho」に
なってしまいます。
また、細いうどんをかみ切る時には横に入れる必要が生じます。 |
| 2歳6ヶ月の子供が指しゃぶりをします。出っ歯になるのではないかと心配です。 |
2歳のお子さんの指しゃぶりはあまり心配する必要は無いと思います。年齢が進み、お子さんの生活の変化につれて指しゃぶりが自然になくなる場合が多いからです。詳しいことは「子供の歯の話」に書いてあります。 |
| 歯科治療の日に予防接種を受けても大丈夫ですか? |
ツベルクリンやBCG,はしかやインフルエンザなどの予防注射は歯科治療や歯科麻酔と関係ありませんから治療日と重なっても大丈夫です。ただしポリオのワクチンのような経口ワクチンは、口の中に傷のあるときにはできませんから、接種予定がある日には歯科の予約は取らないでください。 |
乳歯がぐらぐらしているのですが歯医者さんで抜いてもらった方がいいですか?
抜けた歯を見ると根の部分がないのですが肉の中に根が折れて残っているのではないでしょうか?
| ぐらついているのなら、自然に抜けるのを待てばいいと思います。逆にぐらぐらしていないのに乳歯の横から永久歯が生えてきてしまったら(下写真)、歯科医院で乳歯を抜いてもらった方がいいと思います。特に、残った乳歯と頭を出した永久歯の間に距離(歯肉)があるようなら、なかなか自然に抜けてこないので歯医者さんに行ったほうがいいでしょう。
永久歯はずいぶん変なところに顔を出しますが、その後、後ろからは舌の力、前からは唇やほっぺたの力がかかり、だんだんといい位置に動いてきますから、生えてきた位置についてはあまり心配しなくて大丈夫です。
また、「歯が抜ける」といいますが、乳歯は根っこごと「抜けて」来るのではありません。乳歯の下にある永久歯が、生える時期になって歯肉の外のほうに向かってくると、乳歯の根が先端の方から溶け始めます。歯は、根が骨とくっついているからしっかり立っているので、根がなくなるにしたがってぐらつき始め、根がなくなると「取れて」くるのです。ですから自然に取れた歯には根っこがありません。 |
| 最近歯軋りがひどいのですが治療したほうがいいでしょうか?治療法はありますか? |
| 大人の方 |
歯軋りによって歯が磨り減って(咬耗)しまったり、周囲に迷惑が掛かっているようなら、歯医者さんに相談してみてください。歯軋りをすること自体を中止させるような治療(根本治療)はないと言われていますが、歯軋りが出来ないようなマウスピースを作ることで、それらの不快事項に対処することは出来ます。マウスピースを作る際には保険がききます。 |
| お子さんの場合 |
お子さんの場合には、長期に続くことはあまりなく、また、咬合力が小さいことから、筋肉や咬耗への影響はあまり考えられません。今まで歯軋りの相談を受けた患者さんと、歯が磨り減っている方との間に関連性はありませんでした。少し様子を見て判断してください。そのうちに歯軋りをしなくなることが多いようです。 |
|
| 虫歯菌は母親から子供に感染するとききました。口うつしや同じスプーンを使ってはいけないでしょうか?食器は別にした方が良いでしょうか? |
確かに虫歯菌は親から子供へと伝播します。そしてミュータンス菌がお子さんの口に生活し始める時期が早いと、虫歯にもなりやすいのです。しかし、神経質になるあまり、子供と接触しなくなるのはどうかと思います。お母さんの口の中のミュータンス菌が多いとお子さんへの伝播も早く、虫歯も多いので「お子さんに触らない」のではなく、お母さんのお口の中をキレイにすることでお子さんのお口の中をケアすべきだと思います。また、ミュータンス菌はお母さんばかりでなく、お父さんからも感染します。虫歯予防はまずご両親から! |
今妊娠中です。
歯の治療はできますか? |
「妊娠中をとおしてずっと、全ての治療ができない」ということはありませんが、外科処置や抜歯は行いません。
妊娠初期の3ヶ月は流産の危険もありますし、胎児への薬剤の影響も大きいので、他の歯科治療も避けた方がいいでしょう。
また、8ヶ月以降は早産の危険もありますし、ユニットに一定時間横たわることが苦痛だと思いますから、もし、何らかの治療を受けるとすれば、5ヶ月から7ヶ月までの安定期にすべきでしょう。
服用できる薬剤について、産婦人科の先生に聞いておいてください。麻酔薬も抗生物質も痛み止めも胎盤を通過しますから、使用しなくてすめばその方がよいでしょうが、強い痛みや腫れているところがあれば、抗生物質や鎮痛剤が必要です。。
よく心配されるのがレントゲン撮影による放射線被爆で、たしかに妊娠初期の大量の被爆は胎児の奇形を招く恐れがありますから禁忌です。ただ、安定期に小さな歯のレントゲンを撮るくらいなら、通常防護衣を使用することもあり、影響は考えられません。
しかし、不安な気持ちで治療を受けることは、決して良いことではありませんから、レントゲン撮影も必要最小限にとどめます。
また、出産後も、薬剤(麻酔薬なども)は母乳に出ますから、歯科治療について、しばらくは妊娠中と同じ注意が必要です。
結婚の予定のあるお嬢さんや、新婚さんは、ぜひ、妊娠する前に、歯科検診を受け、治療を済ませておくこと。そして、本当は何よりも予防が第一なのです。
つわりが激しく、歯磨きがきちんとできないときなどは、歯医者さんで歯面清掃をしてもらい、お口のなかを清潔に保ちましょう。 |
| 領収証明細に「管理料」という項目がありました。私たちは歯科の先生に「管理」されているのでしょうか? |
「管理料」というネーミングは厚生省で定めたものです。
厚生省では、来院された患者さんの口の中全体をみて、計画を立てて治療を進めることを求めています。
また、治療の内容をしっかり患者さんに伝えておき、患者さんの同意を得てから診療行為を行うよう、歯科医に求めています。この場合の歯科医とは健康保健指定医のことです。
この、「お口の中全体を診査して把握し、治療計画をたてて患者さんに説明する」ことに対して「歯科疾患管理料」が加算されます。すなわち保険で治療する場合にはこの項目を加算することが必須なのです。 |
歯ブラシで歯を磨くのは何歳からですか?
フッソを塗るのは何歳からできますか? |
歯が生えたら歯ブラシを使って歯磨きをしましょう。平均で大体生後6か月で下の前歯から歯が生えはじめます。ただし、歯の頭が見え始めてすぐには難しいとおもいます。歯の形がはっきりするまではガーゼで拭く程度で構わないでしょう。⇒「子供の歯の話」ページ参照
フッソは、歯科で使用するようなものは特に「何歳にならないと塗ることができない」ということはありませんが、歯の本数が少ないうちはあまり必要が無いと思います。私は、大体1歳半で16本ほど歯が生えてきたころからお勧めしています。(それ以前に虫歯ができた方には治療後おすすめしています。今まで一番早く虫歯の治療が必要だった方は生後10か月、まだ7、8本ほどしか歯が無かった赤ちゃんですが、それは特殊な例と考えてよいと思います。) |
|
|